Darmkrebsvorsorge
Schon heute an morgen denken
Nehmen Sie am Vorsorgeprogramm Darmkrebs teil und gehen Sie ab dem 50. Lebensjahr alle 10 Jahre zu einer Darmspiegelung.
Denn Darmkrebs ist häufig, betrifft 7% der Bevölkerung und ist somit die zweithäufigste Krebserkrankung in Deutschland. Zuverlässige Warnzeichen, die Sie selbst wahrnehmen können, gibt es leider nicht. Erst in fortgeschrittenen Stadien können Schmerzen, Stuhlunregelmäßigkeiten und Blutungen auftreten.
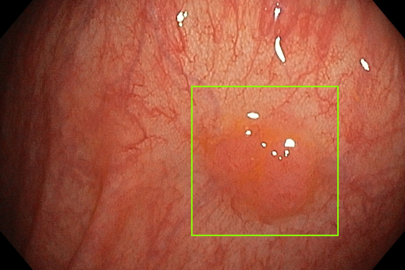
Bei einer Darmspiegelung erkennen wir zuverlässig Adenome – die Krebsvorstufen – und entfernen diese noch während der Untersuchung. So schützen Sie sich vor der Entstehung von Darmkrebs über Jahre.
Wir bieten Sicherheit durch langjährige Erfahrung, hohe Hygiene- und Qualitätsstandards, hochauflösende Endoskopie mit NBI und unterstützender Künstlicher Intelligenz (KI) bei der Adenomerkennung.
Verhindern Sie Darmkrebs und melden Sie sich zu einer Darmspiegelung an:
- ab dem 50 Lebensjahr
- Bei familiärer Belastung auch früher





Sie erreichen uns rund um die Uhr!
Damit Sie auch außerhalb unserer Sprechzeiten Termine bestätigen, absagen und Rezepte bestellen können, haben wir für den Telefonkontakt eine virtuelle Mitarbeiterin in unser Team aufgenommen.
Durch LEA sind wir jederzeit außer am Wochenende telefonisch erreichbar. Gleichzeitig entlastet sie uns, damit wir uns in der Praxis auf unsere Patientinnen und Patienten fokussieren können.
Zusätzlich steht Ihnen unsere Online-Terminbuchung jederzeit zur Verfügung.
Klicken Sie dafür einfach auf den Button.
Dr. med. Ullrich Zschaler
Facharzt für Innere Medizin, Gastroenterologie, Hepatologie, Proktologie
Lagesche Straße 19
32756 Detmold
Montag – Donnerstag:
08:00 Uhr bis 19:00 Uhr
Freitag:
08:00 Uhr bis 14:00 Uhr
Telefon:
05231 96 29 96
05231 4582400
